Is it broken or fractured?!

Hey doc … Is it broken or fractured?

The answer is BOTH!


Medical terms can get confusing and often patients and providers can use terms with confusing or overlapping meanings.


The correct medical term for a “broken” bone is a fracture.  Some patients consider a “fracture” to more serious than a “break” but technically they mean the same thing.  


Fractures can come in many varieties, but any time a bone “breaks” it has fractured.

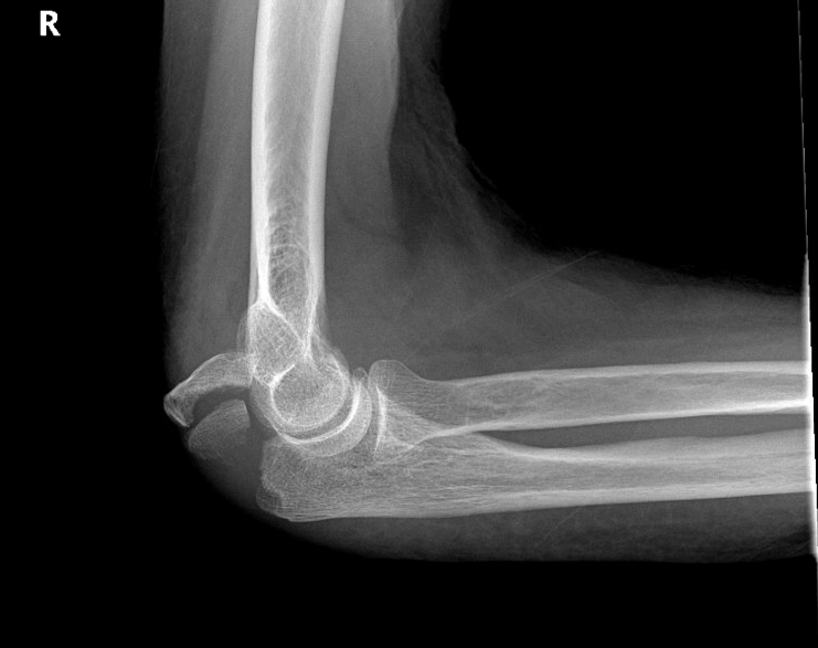
This a “displaced” fracture of the olecranon at the elbow.


Often, the simplest description and way to assess fractures is “non-displaced” vs “displaced”.  Non displaced means there is a fracture through a bone, but the alignment is normal.  I.e., all the pieces of the bone remain in place.  With few exceptions, non displaced fractures generally heal without complications and sometimes require very minimal treatment.  Oftentimes, non displaced fractures are supporting with a brace or wrap, and patients can use pain as a guide to return to activity and use.

These are “non-displaced” fractures of the third and fourth metacarpals - the long bones of your hand.


When a fracture is “displaced”, it means the bone is no longer in normal alignment.  Some fractures are minimally displaced, and often heal with non surgical treatment which may entail casting or bracing depending on the specific location and pattern of the fracture.



Some fractures are significantly displaced, like below.  In general these will usually require more aggressive treatment.



This is a “displaced” clavicle (collarbone) fracture. The fracture is also “shortened” as the ends of the bone are overlapping each other.

Here is the same fracture as above after undergoing surgical treatment. The surgery is called open (make an incision) reduction (line up the bone) internal fixation (generic term for stabilizing the fracture, generally with metal plates and/or screws.

 

Fractues can be “open” or “closed”.  An open fracture means there is communication between the fracture and the outside world due to a cut or laceration on the skin around the fracture.  In the past, open fractures were called “compound” fractures.  Open fractures are generally more serious and usually require surgical treatment.  Most fractures are “closed” meaning there is no cut or laceration or open injury around the fracture.



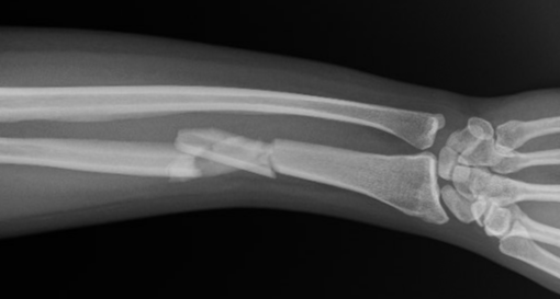
Patients may use the term “shattered” as in my broken wrist is shattered!  The medical term is “comminuted”.  Comminuted means a fracture has multiple parts or fractures to a single bone, i.e. more than one simple fracture line.

This is a “comminuted” radius shaft fracture. Notice the multiple fracture fragments.




Other common terms include “buckle” fracture or “hairline” fracture.  These are great terms that describe specific fracture patterns but of course medicine needs more complex terms to describe the same thing!  A buckle occurs primarily in children, when the outside of the bone – the cortex – “buckles” but the entire bone does not displace.  The medical term for a buckle fracture is a torus fracture.   Hairline fractures refer generally to non displaced fractures, often hard to visualize on an x-ray picture.

This is a simple “buckle” fracture of the end of the radius, also called a “torus” fracture.




Medical terms can get confusing.  As an Orthopedic Surgeon and Hand and Upper Extremity specialist, my job is to develop a treatment plan for a each patient based on the specific fracture pattern and a particular patient’s age, health, and goals.  




So there you have it … if it’s broken, then it’s fractured!

Have a fracture that needs evaluation or treatment? David Holt, MD is accepting new patients and can often see patients the same day. Call (801) 261 7479 for appointment. Dr. David Holt is conveniently located at St. Marks Hospital in the North Medical Building. Call directly or click HERE for additional contact info.

Next
Next

What is Carpal Tunnel Syndrome?